Children with frequent ear or throat infections can fall behind on hearing or speech. We offer age-appropriate evaluation and treatment to keep them healthy and progressing.

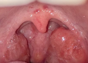
Enlarged adenoids or tonsils can affect breathing, sleep and speech in children. We provide timely assessment and safe surgical options when needed.

Early hearing or speech issues matter. We screen children, identify delays or deficits and start intervention to ensure normal development.

Kids sometimes put objects in their ears, nose or throat. We safely and gently remove them with skilled care to avoid complications.

Book an Appointment
Go Back Top